Excellent
4.9/5.0 based on 602 reviews

Restore Missing Teeth With Dental Implants

  • Prosthodontics Specialist
  • Over 3000 Dental Implants restored
  • Latest techniques and technology
  • Award Winning Dental Care
Book Free Consultation

Award Winning Dental Care

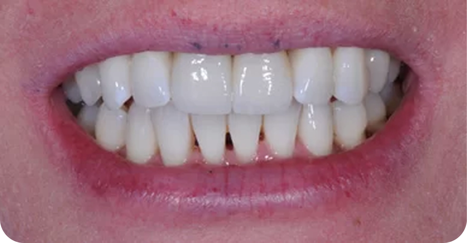
Real Results, Real Transformations

Book Free Consultation
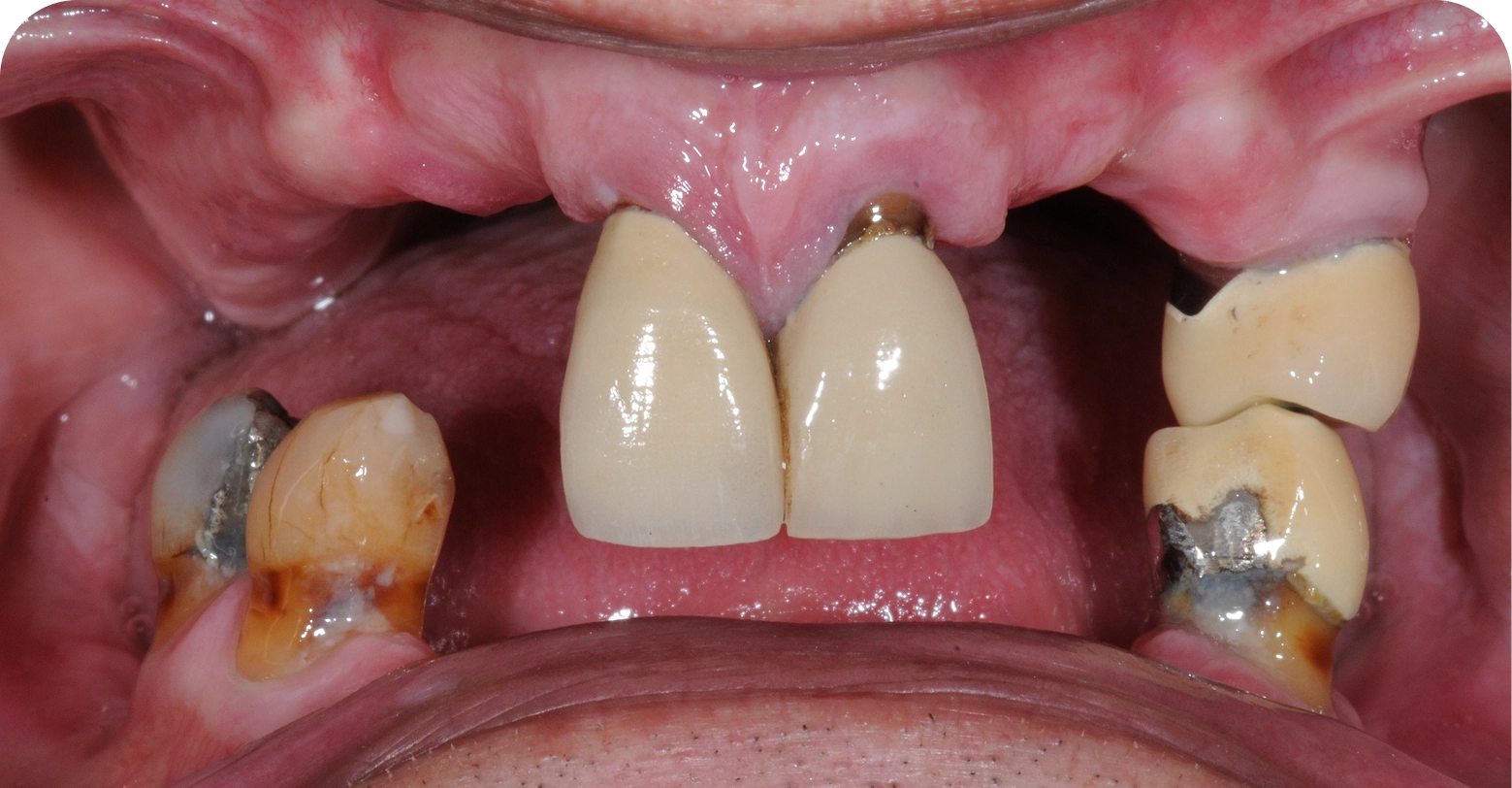
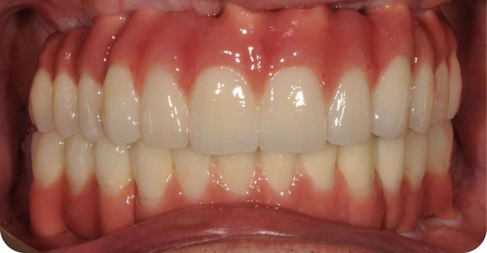
Full mouth implants
Before
After
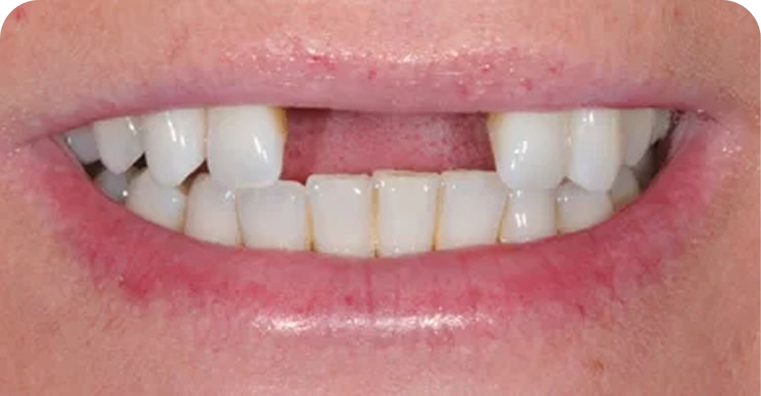
Multiple Implants
Before
After
One tooth implant
Before
After
Full mouth implants
Before
After
1/6
Book Free Consultation

Why People
Choose Crooklog Dental

Only best quality tools

We use advanced digital radiography, precise oral scanners, and the latest CBCT scanner to plan single tooth, multiple, and full mouth implants with accuracy.

Access to the Experts

Our specialists assess your oral health, discuss your goals, and create a personalized plan for single tooth, multiple, or full mouth implants.

Ongoing Support

From single tooth to multiple and full mouth implants, our team provides expert care and ongoing support at every stage of your treatment.

Sedation Care

We offer safe and professional sedation to help anxious patients feel calm, relaxed, and comfortable throughout their treatment.

Learn more about
dental implants

What are dental implants?

Prosthetic teeth that are implanted are an excellent approach to replace one or more lost teeth. They have the same appearance and function as natural teeth.

Why are dental implants used?

Dental implants are commonly used to replace missing teeth, backed by 30 years of clinical and academic experience. They are the closest alternative to natural teeth and can replace dentures without relying on neighboring teeth, unlike bridges.

Can the implant teeth be readily cleaned

Yes. Aftercare is critical for an exemplary, long-lasting implant. You must follow the care recommendations provided by your dental professionals.

We offer these services to make your smile perfect?

Book Free Consultation

Single Tooth
Implants

A single implant replaces one missing tooth without needing a bridge or denture, and can be expanded later if more teeth are lost.

Implant Retained Dentures

If you already wear dentures but want more stability, implant-retained dentures can help. They attach to implants like a secure snap.

All-on-Four
Implant

All-on-4 replaces a full arch using four implants. In many cases, treatment and placement are done the same day and can be used immediately.

All-on-Six Implant

All-on-6 uses six implants to support a complete arch and provides stronger long-term stability. Like All-on-4, it’s often completed in one day.

Book Free Consultation

Expert Care You Can Rely On

1,300+ Reviews

&

20+ Years Implant Experience

98%
of our patients are happy with their dental implants.

4.9-Star Rating

Over 3000 Dental
Implants restored

Your Dental Implant Journey

Initial Consultation

Dental exam and scans to assess
gums and jawbone.

Treatment Planning

Plan created to decide implant
number and type.

Implant Placement

Implants placed under local
anesthesia or sedation.

Experienced Dentists
You Can Rely On

Dr Baber Khan
Restorative Dentist
Dr Thomas Turner
Prosthodontist Specialist in Training
Dr Gajen Raveendran
Practice Limited to Periodontology and Implantology
Dr Wassim Chawich
Prosthodontist Specialist

Trusted By Over 5000+ Patients

Review from Google
Always a pleasure. Very friendly, and unlike other practices around, doesn't try to upsell me.
- Nuray E 23 hours ago
Review from Google
Always in good hands
- Rosa S 6 days ago
Very friendly
Always a pleasure. Very friendly, and unlike other practices around, doesn't try to upsell me.
- Anonymous 6 days ago
Review from Google
Absolutely brilliant service from start to finish.
- James T 1 week ago
Review from Google
The team made me feel so comfortable. Best dental experience I've ever had.
- Sarah M 2 weeks ago

Find Crook Log dental practice near you
42 Crook Log, Bexleyheath, DA6 8BS

Book A Consultation

Google Rating