When it comes to oral health, many people are unsure about the role of dental hygienists. There are several myths surrounding their work, leading to confusion or hesitation about seeing them. In reality, dental hygienists are an integral part of our Crook Log Dental Practice team, and their expertise may help prevent serious oral health issues.
Here, we clear up some of the most common myths about dental hygienists, so you can better understand how they can help maintain and improve your oral health. To find out more about our fabulous team of Dental Hygienists check out our team page https://www.crooklogdentalpractice.co.uk/our-team/

Key points of interest:
Cleaning is just one part of their role
They also provide preventative care
Dental hygienists educate patients on good oral hygiene
While it’s true that cleaning teeth is a key part of a dental hygienist’s job, it’s far from the only thing they do, here at Crook Log Dental Practice, Bexleyheath. In fact, their role goes beyond just cleaning. They help to prevent gum disease, provide detailed oral hygiene advice, and screen for signs of oral health problems such as cavities or oral cancer. Our amazing Bexleyheath based Hygienist team is trained to identify early warning signs and may refer you to a dentist if necessary.

Key points of interest:
Hygienists are highly trained professionals
They work in collaboration with dentists
Some hygienists can identify early signs of problems
Another common misconception is that dental hygienists cannot spot oral health issues. In fact, they are highly trained to recognise early signs of problems such as cavities, gum disease, and even more serious conditions like oral cancer. While they are not qualified to diagnose or treat these conditions, they play a crucial role in identifying potential problems early.
If they spot something concerning, they will refer you to one of our dentists for further evaluation. For further information on Mouth Cancer signs and symptoms click here https://www.cancerresearchuk.org/about-cancer/mouth-cancer/symptoms
Key points of interest:
Everyone can benefit from regular hygiene appointments
Preventive care is essential for maintaining good oral health
Dental hygienists work with patients of all ages
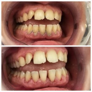
Many people think they only need to see a dental hygienist if they have issues like gum disease or cavities. In reality, regular visits to the hygienist can benefit everyone, regardless of their current oral health. Hygiene appointments at Crook Log Dental Practice help to remove plaque and tartar that brushing alone can’t reach. This reduces the risk of gum disease, bad breath, and tooth decay, even if you currently have healthy teeth and gums.
Key points of interest:
Hygienists and dentists have different roles
Dentists focus on diagnosing and treating oral health conditions
Hygienists focus on prevention and maintenance
While our Bexleyheath based dental hygienists and dentists both play key roles in your oral health, their responsibilities differ. Our Dentists are trained to diagnose and treat a range of oral health problems, including cavities, infections, and more complex conditions. Our Dental hygienists, on the other hand, specialise in prevention and routine care. They help maintain healthy gums and teeth through cleanings, education, and advice on home care.
Key points of interest:
Hygiene visits are generally pain-free
Professional cleanings can feel a little sensitive at times
Modern techniques and tools make visits more comfortable
A common myth is that professional cleanings are painful or uncomfortable. While some people may experience a little sensitivity, especially if they haven’t had a cleaning in a while, most visits are comfortable. Our Dental hygienists use modern tools and techniques to ensure the procedure is as quick and painless as possible. If you have sensitive gums or teeth, be sure to let your hygienist know so they can tailor the treatment to suit you.
Key points of interest:
Hygienists can offer treatments like fluoride application and sealants
They can provide professional advice on diet and smoking cessation
Treatment is aimed at prevention and maintenance
In addition to cleaning teeth, dental hygienists can offer a variety of other treatments. For example, they may apply fluoride to strengthen your teeth, use sealants to protect against cavities, or give you tailored advice on things like diet and quitting smoking. These treatments help prevent future dental problems, and can be especially helpful for children or those at higher risk for oral health issues.
Teeth cleaning is not to be underestimated, did you know there is a link between your gum heath and your heart health? For more information, check out: https://www.bhf.org.uk/informationsupport/heart-matters-magazine/research/gum-disease-heart-health
There are many misconceptions about what dental hygienists actually do.  By understanding the truth about their role, you can make the most of your hygiene appointments and ensure your oral health remains in top condition.  Our Dental Hygienists are highly trained professionals who can help prevent serious dental issues before they arise, and they work alongside your dentist to maintain your smile for the long term.
If you’re due for a hygiene appointment, don’t hesitate to call 0208 303 3838 to book in and experience the benefits for yourself.
Regular visits to our hygienists are an important part of maintaining overall oral health and ensuring that your teeth stay healthy for years to come.
Back to Blog“Recently I have had RESTYLANE Dermal fillers injected into my lips to make them...”
“I have always been conscious of my teeth and always wanted that “perfect smile”....”
“I have never been happy or confident about my smile since I was a...”
“I had originally chipped my front tooth a long time ago and had it...”
“During a recent holiday, I had a fall, landed on my chin and damaged...”
“I have been Dr Chawich’s patient for about 10 years and have always had...”
“I was very self-conscious about my crooked front teeth even after having them whitened...”
“At the age of 76, my few remaining upper teeth became insufficient and eating...”
“I had my teeth whitened by laser and home moulds and also had a...”
“I am a patient of Dr Khan’s and now have amazing front teeth! Went...”